

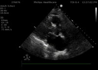
此患者为86岁男性,因“突发胸痛、胸闷28小时”入院,诊断为急性心肌梗死,合并快室率房颤、肺部感染、慢性肾功能衰竭,入院后在积极药物及IABP辅助下心衰仍难以控制,查体出现心尖部收缩期杂音,心脏彩超提示“二尖瓣前瓣脱垂(A2区为主)并重度关闭不全,瓣尖见条索状回声随心动周期摆动”(视频1、视频2 、视频3)。术前,武汉亚总和亚心医院结构性心脏病多学科团队对该患者病情进行了反复讨论,认为该高龄患者急性心肌梗死后出现机械并发症,且合并多器官功能不全,心功能不全难以纠正,死亡率极高,外科开胸手术风险极高(STS评分>30),决定选择微创经导管二尖瓣夹合术。

视频1

视频2

视频3
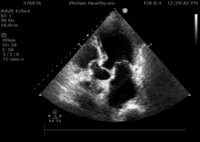
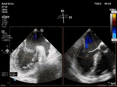
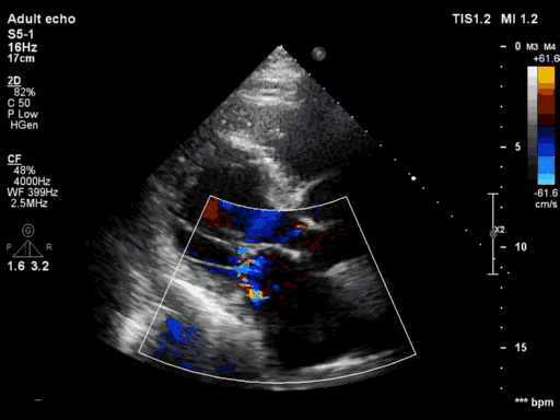
3月30日患者先在全麻下进行TEE(经食道超声心动图)再次评估瓣膜情况(视频4、视频5、视频6 ),确定为二尖瓣前组乳头肌断裂致二尖瓣前瓣脱垂并重度返流,其脱垂部位、瓣叶结构、瓣口面积等适合进行二尖瓣夹合术。术中IABP辅助,ECMO湿备,穿刺右侧股静脉,在TEE指导下顺利穿刺房间隔,随后送入二尖瓣夹合系统,在超声指导下于二尖瓣A2/P2区植入一枚Mitraclip XTR夹合器(视频7),术后TEE评估返流程度从5+降至1+(视频8 ),夹合结果满意,二尖瓣呈双孔启闭(视频9 ),术后二尖瓣平均跨瓣压差1mmHg(图1),收缩期肺静脉返流消失(图2 ),手术总耗时80min。香港亚洲医疗中心林逸贤教授通过视频连线进行手术全程技术支持。

视频4

视频5

视频6

视频7

视频8

视频9

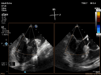
图1

图2
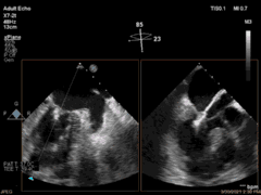
患者心衰症状逐渐改善,术后第3天顺利撤除IABP,第7天转出重症监护病房,临床状况良好,出院前复查TTE提示二尖瓣轻-中度返流(2+)(视频10)。

视频10
二尖瓣关闭不全是临床上最常见的心脏瓣膜病之一,传统治疗方法是外科瓣膜修复或置换。但许多患者由于高龄、合并症多,无法耐受或拒绝外科手术,没有得到有效治疗。近年来,以Mitraclip为代表的经皮二尖瓣缘对缘修复技术(二尖瓣夹合术)成为主要替代方法。2020年ACC/AHA指南已将经导管二尖瓣夹合术的推荐级别从IIb提升至IIa,建议用于外科手术高危的原发性MR和经优化药物治疗仍有症状的功能性MR患者的治疗。
乳头肌断裂伴二尖瓣返流是急性心肌梗死的一种少见但致命的并发症,报告的发生率在1%-3%。二尖瓣急性功能障碍会快速导致心源性休克,而单纯药物治疗往往并不能改善预后。在目前的指南中,外科手术修复仍是心梗后乳头肌断裂导致的有症状的二尖瓣严重返流的I类适应症,但是,围术期仍有较高的死亡率。国外文献中,已有较多Mitraclip在此类患者中使用的经验,短期及随访结果值得肯定。因此,以Mitraclip为代表的经导管二尖瓣缘对缘修复器械对于心梗后乳头肌断裂导致的有症状的二尖瓣严重返流外科手术高风险的患者是一个安全、可行的治疗选择。